Torbiel na dziąśle to patologiczna jama, która często rozwija się podstępnie, nie dając początkowo żadnych dolegliwości. Zrozumienie, jak wygląda i jakie objawy może dawać, jest kluczowe dla wczesnego wykrycia i podjęcia odpowiednich kroków. Jako stomatolog z doświadczeniem, zawsze podkreślam, że każda niepokojąca zmiana w jamie ustnej wymaga profesjonalnej konsultacji tylko specjalista może postawić trafną diagnozę i zaplanować skuteczne leczenie.
Torbiel na dziąśle jak ją rozpoznać i dlaczego wymaga uwagi stomatologa
- Torbiel to patologiczna jama na dziąśle, często rozwijająca się bezobjawowo, wypełniona płynem lub ropą.
- Może wyglądać jak gładki guzek o różnym kolorze i konsystencji, od półprzezroczystego po zaczerwieniony.
- Najczęstsze przyczyny to nieleczona próchnica, nieprawidłowe leczenie kanałowe lub urazy mechaniczne.
- W zaawansowanym stadium może powodować ból, opuchliznę, a nawet rozchwianie zębów.
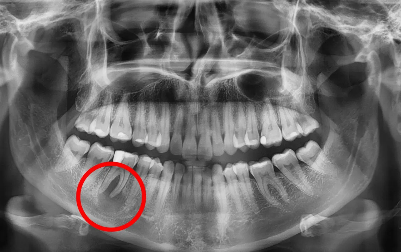
- Diagnostyka opiera się na badaniu stomatologicznym i zdjęciu RTG, które jest kluczowe dla jej wykrycia.
- Nieleczona torbiel może prowadzić do poważnych powikłań, w tym utraty zębów i zniszczenia kości.
Czym jest tajemnicza "kulka" na dziąśle? Definicja torbieli w prostych słowach
Kiedy mówimy o torbieli na dziąśle, mamy na myśli patologiczną, otorebkowaną jamę, która najczęściej jest wypełniona płynem, treścią ropną, a czasem nawet gazem. Wyobraźmy sobie mały balonik, który powoli rośnie w tkankach. Co istotne, torbiel rozwija się zazwyczaj powoli i, co bywa najbardziej zdradliwe, często bezobjawowo przez długi czas. To właśnie ten cichy rozwój sprawia, że pacjenci często bagatelizują problem, dopóki nie stanie się on naprawdę poważny.
Dlaczego "nic nie boli" może być zdradliwe? O bezobjawowym rozwoju torbieli
Z mojego doświadczenia wynika, że wielu pacjentów zgłasza się do gabinetu dopiero, gdy pojawia się ból lub widoczna opuchlizna. Niestety, w przypadku torbieli, brak dolegliwości bólowych nie oznacza braku problemu. Wiele z tych zmian rośnie "cicho" wewnątrz kości, powoli ją niszcząc i wypychając jedynie dziąsło na zewnątrz. To dlatego tak często torbiele są wykrywane przypadkowo, na przykład podczas rutynowego badania RTG, które jest nieocenionym narzędziem diagnostycznym. Regularne wizyty u stomatologa i profilaktyczne zdjęcia rentgenowskie są kluczowe, aby wychwycić takie zmiany, zanim staną się zaawansowane.

Jak wygląda torbiel na dziąśle? Przewodnik po jej cechach
Kształt i rozmiar: od małej kropki do widocznego uwypuklenia
Kiedy pacjent pyta mnie, jak wygląda torbiel, zawsze opisuję ją jako gładki, wypukły guzek lub pęcherz. Zazwyczaj ma ona okrągły lub owalny kształt, co jest dość charakterystyczne. Jej rozmiar może być bardzo różny od niewielkiej, ledwo zauważalnej kropki, która jest wyczuwalna jedynie pod palcem, po znacznie większe uwypuklenie, które staje się widoczne i może nawet wpływać na symetrię twarzy.
Kolor i konsystencja: co można zauważyć gołym okiem i poczuć dotykiem?
Kolor torbieli może być zróżnicowany. Często bywa ona półprzezroczysta, co pozwala dostrzec płyn w jej wnętrzu. Może przybierać również barwę białawo-żółtawą, zwłaszcza jeśli zawiera treść ropną. Wokół torbieli często obserwuje się zaczerwienienie, świadczące o stanie zapalnym. Co do konsystencji, torbiel może być miękka i elastyczna w dotyku, przypominająca balonik z wodą, ale bywa też twardsza, jeśli rozwija się w gęstszych tkankach lub jest otoczona grubszą torebką. Dotykając ją, można czasami wyczuć charakterystyczne uczucie "chrupania" kości, co jest sygnałem zaawansowanej resorpcji.
Typowe lokalizacje: gdzie najczęściej pojawiają się torbiele?
- Wierzchołek korzenia zęba: To najczęstsza lokalizacja torbieli korzeniowych, które powstają w wyniku przewlekłego stanu zapalnego.
- Okolice niewyrzniętych zębów: Szczególnie często torbiele zawiązkowe pojawiają się w okolicy zatrzymanych zębów mądrości (ósemek) lub kłów.
- Tkanki miękkie dziąsła: Torbiele dziąsłowe występują bezpośrednio w dziąśle, bez związku z wierzchołkiem korzenia.
- Kieszonki przyzębne: W wyniku zaawansowanych chorób przyzębia mogą tworzyć się torbiele przyzębia.
Objawy torbieli, które wymagają uwagi
Ból przy nagryzaniu i uczucie rozpierania: pierwsze sygnały ostrzegawcze
Kiedy torbiel zaczyna rosnąć i naciskać na otaczające struktury, pojawiają się pierwsze, często subtelne, ale niepokojące objawy. Pacjenci często skarżą się na ból zęba o różnym nasileniu, który może być stały lub pojawiać się sporadycznie. Charakterystyczne jest również uczucie rozpierania lub napięcia tkanek w okolicy zmiany, zwłaszcza przy nagryzaniu. To sygnał, że torbiel zajmuje coraz więcej miejsca i wywiera nacisk na nerwy oraz kość.
Opuchlizna dziąsła i widoczna asymetria twarzy: objawy zaawansowanej zmiany
W bardziej zaawansowanych stadiach torbiel staje się na tyle duża, że jej obecność jest widoczna gołym okiem. Obserwujemy wtedy wyraźną opuchliznę i uwypuklenie dziąsła lub kości. W skrajnych przypadkach, gdy torbiel osiąga znaczne rozmiary, może prowadzić do widocznej asymetrii twarzy. To już poważny sygnał, którego absolutnie nie wolno ignorować, ponieważ świadczy o znacznym postępie choroby.
Ruchomość zębów i wyciek ropny: alarmujące symptomy wymagające natychmiastowej reakcji
Istnieją objawy, które powinny zapalić czerwoną lampkę i skłonić do natychmiastowej wizyty u stomatologa. Należą do nich:
- Przesuwanie się lub rozchwianie sąsiednich zębów: Torbiel, rosnąc, może niszczyć kość wokół korzeni zębów, prowadząc do ich destabilizacji.
- Wyciek treści ropnej (przetoka): Pojawienie się przetoki, czyli małego otworu w dziąśle, przez który wydobywa się ropa, jest jednoznacznym objawem aktywnego stanu zapalnego i infekcji.
- Patologiczne złamanie kości: W bardzo rzadkich, ale skrajnych przypadkach, torbiel może tak osłabić kość szczęki lub żuchwy, że dojdzie do jej złamania nawet przy niewielkim urazie.
Skąd bierze się torbiel na dziąśle? Główne przyczyny
Nieleczona próchnica: cichy winowajca numer jeden
Zdecydowanie najczęstszą przyczyną powstawania torbieli jest nieleczona próchnica. Kiedy ubytek próchnicowy jest ignorowany, bakterie wnikają coraz głębiej, aż do miazgi zęba, powodując jej martwicę. Następnie infekcja rozprzestrzenia się poza wierzchołek korzenia, prowadząc do przewlekłego stanu zapalnego tkanek okołowierzchołkowych. To właśnie ten długotrwały proces zapalny jest idealnym środowiskiem do rozwoju torbieli korzeniowej.
Nieprawidłowe leczenie kanałowe jako źródło problemów
Paradoksalnie, torbiel może rozwinąć się również po leczeniu kanałowym, jeśli zostało ono przeprowadzone nieprawidłowo. Niewystarczające oczyszczenie kanałów korzeniowych, niedopełnienie ich materiałem, czy też pozostawienie w nich resztek zainfekowanej tkanki, może prowadzić do utrzymywania się stanu zapalnego. Bakterie, które przetrwały w niedoleczonym kanale, mogą zapoczątkować proces tworzenia się torbieli, nawet po wielu latach od zabiegu.
Urazy mechaniczne i zatrzymane zęby mądrości: mniej oczywiste przyczyny
Oprócz próchnicy i błędów w leczeniu, istnieją inne, choć rzadsze, przyczyny powstawania torbieli:
- Urazy mechaniczne: Silne uderzenia w ząb, pęknięcia korzenia lub inne uszkodzenia mogą prowadzić do martwicy miazgi i w konsekwencji do rozwoju torbieli.
- Zaburzenia rozwojowe: Niektóre torbiele, zwane zawiązkowymi, tworzą się w trakcie rozwoju zawiązka zęba. Najczęściej towarzyszą one zębom zatrzymanym, takim jak zęby mądrości (ósemki), które nie wyrznęły się prawidłowo.
- Choroby przyzębia: Zaawansowane stany zapalne w obrębie kieszonek przyzębnych, czyli przestrzeni między zębem a dziąsłem, również mogą być przyczyną powstawania torbieli przyzębia.
Czy każda torbiel jest taka sama? Poznaj jej rodzaje
W mojej praktyce spotykam się z różnymi rodzajami torbieli, a ich klasyfikacja jest ważna dla prawidłowego leczenia. Oto najczęściej występujące typy:
- Torbiel korzeniowa (zapalna): To zdecydowanie najczęstszy typ, stanowiący około 70% wszystkich torbieli w jamie ustnej. Powstaje przy wierzchołku korzenia zęba w wyniku przewlekłego stanu zapalnego, najczęściej spowodowanego martwicą miazgi.
- Torbiel zawiązkowa: Rozwija się wokół korony niewyrzniętego, zatrzymanego zęba. Często jest wykrywana przypadkowo przy badaniu RTG zębów mądrości.
- Torbiel dziąsłowa: Występuje w tkankach miękkich dziąsła, bez bezpośredniego związku z korzeniem zęba. U niemowląt często zanika samoistnie, jednak u dorosłych wymaga interwencji.
- Torbiel przyzębia: Powstaje w wyniku stanu zapalnego w kieszonce przyzębnej, często w przebiegu zaawansowanej choroby przyzębia.
- Torbiel rogowaciejąca: Jest to szczególny rodzaj torbieli, uznawany za nowotwór łagodny. Charakteryzuje się dużą tendencją do wzrostu, niszczenia kości i nawrotów. Wymaga bardzo dokładnego leczenia i monitorowania.

Jak stomatolog diagnozuje torbiel? Czego spodziewać się w gabinecie
Rola zdjęcia RTG: dlaczego obraz jest kluczowy dla postawienia diagnozy?
Diagnostyka torbieli opiera się na kilku filarach, ale absolutną podstawą jest diagnostyka obrazowa, a zwłaszcza zdjęcie RTG. Na zdjęciu rentgenowskim, czy to pantomograficznym (obejmującym całe uzębienie), czy punktowym (skupiającym się na konkretnym obszarze), torbiel jest widoczna jako wyraźne, ciemniejsze przejaśnienie w kości. To właśnie ten obraz pozwala mi ocenić jej rozmiar, lokalizację i stosunek do sąsiednich struktur. W bardziej skomplikowanych przypadkach, gdy potrzebuję trójwymiarowego obrazu, na przykład w celu oceny bliskości torbieli do nerwów czy zatok, wykorzystuję tomografię komputerową (CBCT). To narzędzie daje mi pełny obraz sytuacji i pozwala na precyzyjne zaplanowanie leczenia.
Wywiad lekarski: o co zapyta Cię dentysta i dlaczego jest to ważne?
Zanim przejdę do badania obrazowego, zawsze przeprowadzam szczegółowy wywiad lekarski. Zapytam o Twoje dolegliwości czy odczuwasz ból, kiedy się pojawia, czy coś go nasila lub łagodzi. Ważne są również informacje o wcześniejszych urazach zębów, przebytych zabiegach stomatologicznych, a także o ogólnym stanie zdrowia i przyjmowanych lekach. Następnie wykonam dokładne badanie stomatologiczne, oceniając stan dziąseł, zębów, a także palpacyjnie (dotykowo) sprawdzę okolicę, w której podejrzewam torbiel. Te wszystkie elementy wywiad, badanie kliniczne i diagnostyka obrazowa tworzą spójny obraz, który pozwala mi postawić trafną diagnozę.
Jak wygląda leczenie torbieli na dziąśle? Przegląd metod
Czy zawsze konieczna jest interwencja chirurga? Rola leczenia kanałowego
Dobra wiadomość jest taka, że nie każda torbiel wymaga natychmiastowej interwencji chirurgicznej. W przypadku mniejszych torbieli korzeniowych, które są ściśle związane z zainfekowanym zębem, prawidłowo przeprowadzone leczenie endodontyczne (kanałowe) może doprowadzić do ich zaniku. Usunięcie źródła infekcji z kanałów korzeniowych często pozwala organizmowi na samoczynną regenerację i wchłonięcie torbieli. To zawsze jest moja preferowana metoda, jeśli tylko jest to możliwe.
Wyłuszczenie torbieli i resekcja wierzchołka korzenia: co oznaczają te zabiegi?
Gdy torbiel jest większa lub leczenie kanałowe nie przyniosło efektów, konieczna staje się interwencja chirurgiczna. Dwie główne metody to:- Wyłuszczenie torbieli (cystektomia): Jest to najczęściej wykonywany zabieg, polegający na nacięciu dziąsła i usunięciu całej zmiany wraz z torebką. To kluczowe, aby usunąć całą torebkę, aby zminimalizować ryzyko nawrotu.
- Resekcja wierzchołka korzenia (apikotomia): Ten zabieg często łączony jest z wyłuszczeniem torbieli. Polega na odcięciu fragmentu korzenia zęba, który jest objęty zmianą zapalną lub torbielą, a następnie na wstecznym wypełnieniu kanału. Jest to rozwiązanie dla zębów, które chcemy uratować, ale standardowe leczenie kanałowe nie jest wystarczające.
Kiedy usunięcie zęba jest nieuniknione?
Niestety, w niektórych przypadkach, pomimo moich starań, ekstrakcja zęba jest jedynym możliwym rozwiązaniem. Dzieje się tak, gdy ząb przyczynowy jest już bardzo zniszczony przez proces chorobowy, ma rozległe ubytki, pęknięcia korzenia lub jest tak osłabiony, że nie kwalifikuje się do leczenia zachowawczego ani chirurgicznego. W takich sytuacjach usunięcie zęba jest konieczne, aby całkowicie wyeliminować źródło infekcji i zapewnić prawidłowe gojenie się kości.
Badanie histopatologiczne: dlaczego jest obowiązkowym elementem leczenia?
Niezależnie od tego, czy torbiel została wyłuszczona, czy usunięto ząb wraz ze zmianą, każdy usunięty materiał musi być poddany badaniu histopatologicznemu. Jest to absolutnie obowiązkowy element leczenia. Materiał trafia do laboratorium, gdzie patomorfolog ocenia go pod mikroskopem. Dzięki temu uzyskujemy ostateczne potwierdzenie diagnozy, a co najważniejsze, wykluczamy obecność zmian nowotworowych. To daje zarówno mnie, jak i pacjentowi, pewność co do charakteru zmiany i pozwala na spokojne monitorowanie procesu gojenia.
Nieleczona torbiel: realne zagrożenia i powikłania
Utrata zębów i zniszczenie kości: najpoważniejsze konsekwencje zaniedbania
Nieleczona torbiel to tykająca bomba w jamie ustnej. Jej konsekwencje mogą być bardzo poważne i często nieodwracalne. Najpoważniejsze z nich to:
- Zniszczenie kości: Rosnąca torbiel stopniowo resorbuje (niszczy) otaczającą kość, prowadząc do jej ubytków i osłabienia struktury szczęki lub żuchwy.
- Rozchwianie i utrata zębów: Ubytki kostne wokół korzeni zębów prowadzą do ich rozchwiania, a w konsekwencji do konieczności ekstrakcji.
- Uszkodzenie sąsiednich struktur: Duże torbiele mogą uciskać na nerwy, prowadząc do drętwienia lub bólu, a także wnikać do zatok szczękowych, powodując przewlekłe stany zapalne.
- Ryzyko patologicznych złamań: Znaczące osłabienie kości przez torbiel zwiększa ryzyko jej złamania nawet przy niewielkim urazie.
Przeczytaj również: Dziąsła się cofają? Sprawdź, jak je leczyć i chronić przed utratą
Czy torbiel na dziąśle może przekształcić się w nowotwór?
To pytanie, które często słyszę od zaniepokojonych pacjentów. Odpowiadam, że choć rzadko, istnieje takie ryzyko. Większość torbieli ma charakter łagodny i nie złośliwieje. Jednak niektóre typy, jak wspomniana wcześniej torbiel rogowaciejąca, są uznawane za nowotwory łagodne i mają tendencję do agresywnego wzrostu oraz nawrotów. W bardzo rzadkich przypadkach, długotrwały stan zapalny w obrębie torbieli może sprzyjać transformacji nowotworowej. Dlatego właśnie tak ważne jest badanie histopatologiczne każdego usuniętego materiału to jedyna droga, aby rozwiać wszelkie wątpliwości i zapewnić pacjentowi spokój ducha.
