Zapalenie dziąseł, choć często bagatelizowane, jest jednym z najpowszechniejszych problemów zdrowotnych jamy ustnej. Zrozumienie jego objawów, szczególnie tych wizualnych, jest absolutnie kluczowe. Pozwala to na wczesne rozpoznanie i podjęcie działań, zanim problem przerodzi się w coś znacznie poważniejszego.
Zapalenie dziąseł: jak rozpoznać objawy i kiedy działać?
- Zapalenie dziąseł objawia się zmianą koloru na czerwony/fioletowy, opuchlizną i krwawieniem, często podczas szczotkowania.
- Zdrowe dziąsła są bladoróżowe, jędrne i nie krwawią.
- Główną przyczyną jest płytka bakteryjna i kamień nazębny, wynikające z niewystarczającej higieny.
- Inne objawy to ból, nieświeży oddech i cofanie się dziąseł w zaawansowanych stadiach.
- Nieleczone zapalenie może prowadzić do paradontozy i utraty zębów, a także wpływać na zdrowie ogólnoustrojowe.
- Konieczna jest profesjonalna higienizacja i poprawa codziennej higieny, a w przypadku zaawansowanych objawów wizyta u stomatologa.

Wczesne rozpoznanie objawów wizualnych zapalenia dziąseł jest niezwykle ważne. To właśnie one są pierwszym sygnałem, że coś niedobrego dzieje się w naszej jamie ustnej i pozwalają na szybką reakcję, która może uchronić nas przed poważniejszymi konsekwencjami.
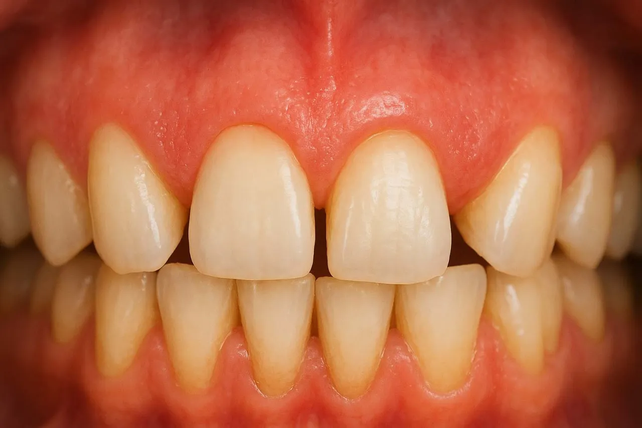
Zacznijmy od tego, jak powinny wyglądać zdrowe dziąsła. Są one bladoróżowe, jędrne i ściśle przylegają do zębów. Co najważniejsze, podczas codziennej higieny szczotkowania czy nitkowania zdrowe dziąsła nie krwawią. Ich powierzchnia często ma delikatną, "kropkowaną" strukturę, przypominającą skórkę pomarańczy.
Kiedy pojawia się stan zapalny, obraz zmienia się diametralnie. Oto kluczowe wizualne objawy, na które należy zwrócić uwagę:
- Zmiana koloru dziąseł: Z bladoróżowego na intensywnie czerwony, a nawet fioletowy. To wyraźny sygnał toczącego się stanu zapalnego.
- Opuchlizna i obrzęk dziąseł: Dziąsła stają się powiększone, nabrzmiałe, a ich kontury mogą być mniej wyraźne.
- Utrata naturalnej, "kropkowanej" struktury: Dziąsła stają się gładkie i błyszczące, tracąc swoją zdrową teksturę.
Zmiana koloru i obrzęk dziąseł są bezpośrednim wynikiem reakcji obronnej organizmu na obecność bakterii. Kiedy bakterie z płytki nazębnej zaczynają drażnić tkanki, dochodzi do rozszerzenia naczyń krwionośnych, zwiększonego przepływu krwi i gromadzenia się płynu w tkankach. To właśnie te procesy manifestują się jako zaczerwienienie i opuchlizna, sygnalizując aktywny stan zapalny.
Jednym z pierwszych i najbardziej charakterystycznych objawów zapalenia dziąseł jest krwawienie podczas szczotkowania lub nitkowania zębów. Niestety, wielu pacjentów uważa to za normę lub znak, że szczotkują zbyt mocno. Nic bardziej mylnego! Krwawienie dziąseł, nawet sporadyczne, zawsze powinno być sygnałem do niepokoju i wskazówką, że mamy do czynienia ze stanem zapalnym. Zdrowe dziąsła po prostu nie krwawią.
Inne objawy zapalenia dziąseł, na które warto zwrócić uwagę
Poza widocznymi zmianami, zapaleniu dziąseł mogą towarzyszyć inne, mniej oczywiste, ale równie ważne symptomy. Ich obecność dodatkowo potwierdza problem i wskazuje na potrzebę interwencji.
Ból i nadwrażliwość dziąseł to kolejne objawy, które mogą towarzyszyć stanowi zapalnemu. Choć w początkowych fazach zapalenie dziąseł często przebiega bezboleśnie, w miarę postępu choroby dziąsła mogą stać się wrażliwe na dotyk, jedzenie czy picie. Czasem pojawia się tępy ból, szczególnie podczas spożywania pokarmów.
Nieświeży oddech, czyli halitoza, to często wstydliwy, ale bardzo powszechny objaw związany z zapaleniem dziąseł. Bakterie gromadzące się w płytce nazębnej i kamieniu nazębnym, szczególnie te beztlenowe, produkują lotne związki siarki, które są odpowiedzialne za nieprzyjemny zapach. Nieleczone zapalenie dziąseł może być jedną z głównych przyczyn chronicznej halitozy.

Przeczytaj również: Rak dziąseł: Czy znasz objawy? Wczesne sygnały ratują życie.
Cofanie się dziąseł (recesja)
Recesja dziąseł to bardziej zaawansowany objaw zapalenia, który może pojawiać się, gdy stan zapalny utrzymuje się przez dłuższy czas. Polega na obniżaniu się linii dziąseł, co optycznie wydłuża zęby i odsłania ich szyjki. Odsłonięte szyjki zębowe są nie tylko bardziej wrażliwe na zmiany temperatury, ale także bardziej podatne na próchnicę. Recesja dziąseł jest poważnym sygnałem, który może świadczyć o postępującej paradontozie i zwiększa ryzyko utraty zębów.
Dlaczego dziąsła chorują? Główne przyczyny i czynniki ryzyka
Zrozumienie przyczyn zapalenia dziąseł jest kluczowe nie tylko dla skutecznego leczenia, ale przede wszystkim dla efektywnej profilaktyki. Bez poznania źródła problemu trudno o trwałą poprawę.
Główną i najczęstszą przyczyną zapalenia dziąseł jest niewystarczająca higiena jamy ustnej. Prowadzi ona do gromadzenia się płytki bakteryjnej miękkiego, lepkiego nalotu na powierzchni zębów i dziąseł. Jeśli płytka nie jest regularnie usuwana, z czasem mineralizuje się, tworząc twardy kamień nazębny. Zarówno płytka, jak i kamień nazębny są siedliskiem bakterii, które produkują toksyny drażniące dziąsła i wywołujące stan zapalny.
Istnieją również czynniki związane ze stylem życia, które znacząco zwiększają ryzyko zapalenia dziąseł:
- Palenie papierosów: Jest jednym z najsilniejszych czynników ryzyka. Palenie osłabia układ odpornościowy, zmniejsza przepływ krwi do dziąseł i maskuje objawy zapalenia, takie jak krwawienie.
- Niedobory witamin: Zwłaszcza witaminy C (szkorbut) i z grupy B, mogą osłabiać odporność dziąseł i utrudniać ich regenerację.
- Stres: Przewlekły stres może osłabiać układ odpornościowy, czyniąc organizm bardziej podatnym na infekcje, w tym te w jamie ustnej.
Poza stylem życia, na zdrowie dziąseł wpływają także inne czynniki:
- Zmiany hormonalne: Ciąża, menopauza, a nawet cykl menstruacyjny mogą zwiększać wrażliwość dziąseł i ich podatność na stany zapalne.
- Cukrzyca: Osoby z niekontrolowaną cukrzycą są znacznie bardziej narażone na choroby przyzębia, a choroby dziąseł mogą z kolei utrudniać kontrolę poziomu cukru we krwi.
- Niektóre leki: Leki przeciwpadaczkowe, immunosupresyjne czy blokery kanałów wapniowych mogą powodować przerost dziąseł, co utrudnia higienę i sprzyja stanom zapalnym.
- Predyspozycje genetyczne: Niektórzy ludzie są genetycznie bardziej podatni na rozwój chorób przyzębia.
- Powiązania z chorobami ogólnoustrojowymi: Nieleczone zapalenie dziąseł i przyzębia ma związek z chorobami sercowo-naczyniowymi, chorobami płuc, a nawet zwiększa ryzyko przedwczesnego porodu u kobiet w ciąży. To pokazuje, jak ważne jest holistyczne podejście do zdrowia.
Od zapalenia dziąseł do paradontozy etapy rozwoju choroby
Zapalenie dziąseł to proces, który może się rozwijać, a jego zrozumienie jest kluczowe dla podjęcia odpowiednich działań. Niestety, często bagatelizujemy pierwsze objawy, co prowadzi do poważniejszych konsekwencji.
Pierwszy, odwracalny etap to właśnie zapalenie dziąseł (gingivitis). Charakteryzuje się ono łagodnym stanem zapalnym, objawiającym się zaczerwienieniem, opuchlizną i krwawieniem dziąseł, często podczas szczotkowania. Na tym etapie stan zapalny dotyczy wyłącznie tkanek miękkich dziąsła, bez uszkodzenia kości czy więzadeł utrzymujących ząb. Dobra wiadomość jest taka, że gingivitis jest całkowicie odwracalne! Poprawa higieny jamy ustnej i profesjonalne czyszczenie zębów w gabinecie stomatologicznym zazwyczaj wystarczają, aby dziąsła wróciły do zdrowia.
Jeśli zapalenie dziąseł pozostaje nieleczone, może przejść w bardziej zaawansowane stadium, zwane paradontozą (periodontitis). W tym przypadku stan zapalny atakuje głębsze tkanki otaczające ząb więzadła ozębnej i kość wyrostka zębodołowego. Dochodzi do niszczenia tych struktur, co prowadzi do powstawania kieszonek dziąsłowych (przestrzeni między zębem a dziąsłem, w których gromadzą się bakterie). W miarę postępu choroby, kieszonki stają się głębsze, kość zanika, zęby zaczynają się rozchwiać, a w ostateczności może dojść do ich utraty. Paradontoza jest chorobą przewlekłą i choć można ją zatrzymać, uszkodzenia kości są zazwyczaj nieodwracalne.
Kluczowe różnice między łagodnym zapaleniem dziąseł a zaawansowaną paradontozą są znaczące. W przypadku gingivitis mamy do czynienia głównie z krwawieniem i opuchlizną, natomiast struktury utrzymujące ząb są nienaruszone. W paradontozie pojawiają się głębokie kieszonki dziąsłowe, zanik kości i rozchwianie zębów. Rozpoznanie tych różnic pozwala zrozumieć powagę sytuacji i podjąć odpowiednie kroki od prostej poprawy higieny po zaawansowane leczenie periodontologiczne.
Statystyki jak powszechny jest problem zapalenia dziąseł w Polsce?
Niestety, problem zapalenia dziąseł i chorób przyzębia w Polsce jest znacznie bardziej powszechny, niż mogłoby się wydawać. To nie jest marginalny problem, lecz wyzwanie zdrowotne o dużej skali, które dotyka ogromną część społeczeństwa.
Kluczowe statystyki dotyczące częstości występowania chorób przyzębia w Polsce są alarmujące:
- Zaledwie 1% Polaków w wieku 35-44 lata ma całkowicie zdrowe przyzębie. To pokazuje skalę problemu niemal wszyscy w tej grupie wiekowej borykają się z jakimiś problemami dziąseł.
- Ponad 16% Polaków w tej samej grupie wiekowej cierpi na zaawansowane zapalenie przyzębia, czyli paradontozę, która może prowadzić do utraty zębów.
- Krwawienie dziąseł, jeden z pierwszych objawów zapalenia, dotyczy około 30% polskich 18-latków. To sygnał, że problem zaczyna się już w młodym wieku i często jest ignorowany.
Co robić, gdy podejrzewasz u siebie zapalenie dziąseł? Leczenie i profilaktyka
Jeśli po przeczytaniu tego artykułu podejrzewasz u siebie zapalenie dziąseł, pamiętaj, że to problem, z którym można skutecznie walczyć. Kluczem jest podjęcie konkretnych działań i konsekwencja w dbaniu o higienę jamy ustnej.
W walce z zapaleniem dziąseł kluczowe jest połączenie domowych metod higieny z koniecznością profesjonalnego leczenia stomatologicznego. Domowa higiena jest podstawą, ale nie jest w stanie usunąć kamienia nazębnego. Dlatego profesjonalna higienizacja w gabinecie stomatologicznym (skaling usuwanie kamienia, piaskowanie usuwanie osadów i przebarwień) jest absolutnie niezbędna. Oba te elementy wzajemnie się uzupełniają, tworząc kompleksową strategię walki z zapaleniem dziąseł.
Wizyta u stomatologa jest niezbędna w następujących sytuacjach:
- Pojawienie się krwawienia dziąseł, nawet sporadycznego.
- Utrzymujący się ból lub nadwrażliwość dziąseł.
- Widoczny obrzęk lub zmiana koloru dziąseł na czerwony/fioletowy.
- Nieświeży oddech, którego nie da się usunąć codzienną higieną.
- Podejrzenie cofania się dziąseł lub rozchwiania zębów.
- Brak poprawy po wdrożeniu domowej higieny przez kilka dni.
Codzienna profilaktyka to podstawa zdrowych dziąseł. Oto konkretne wskazówki, które pomogą Ci utrzymać jamę ustną w doskonałej kondycji:
- Dokładne szczotkowanie zębów: Minimum 2 razy dziennie, przez co najmniej 2 minuty, używając szczoteczki o miękkim lub średnim włosiu i odpowiedniej techniki (np. ruchy wymiatające).
- Nitkowanie przestrzeni międzyzębowych: Codziennie, aby usunąć płytkę bakteryjną i resztki jedzenia z miejsc niedostępnych dla szczoteczki.
- Stosowanie płynów antybakteryjnych: Mogą być pomocne jako uzupełnienie higieny, szczególnie w początkowej fazie leczenia.
- Zbilansowana dieta: Ograniczenie cukrów i spożywanie warzyw i owoców bogatych w witaminy (szczególnie C) wspiera zdrowie dziąseł.
- Regularne wizyty kontrolne u dentysty: Przynajmniej raz na 6-12 miesięcy, połączone z profesjonalną higienizacją, to najlepsza forma profilaktyki i wczesnego wykrywania problemów.
