Próchnica zęba to podstępna choroba, która często rozwija się w ukryciu, zanim da o sobie znać w pełni. Ten artykuł to kompleksowy przewodnik po jej objawach od wczesnych, subtelnych sygnałów, przez zaawansowane stadia, aż po te występujące w nietypowych lokalizacjach i u dzieci. Wierzę, że jego przeczytanie pomoże Ci wcześnie rozpoznać problem, zrozumieć jego rozwój i podjąć odpowiednie kroki, aby zachować zdrowy i piękny uśmiech.
Rozpoznaj próchnicę zęba na czas: kluczowe objawy i sygnały ostrzegawcze
- Próchnica często zaczyna się dyskretnie od białych plamek na szkliwie i nadwrażliwości na słodkie czy zimne.
- W miarę postępu pojawiają się widoczne przebarwienia (żółte, brązowe, czarne) oraz ubytki, czyli "dziurki" w zębie.
- Zaawansowane stadium charakteryzuje się silnym, pulsującym bólem, nieprzyjemnym zapachem z ust, a nawet ropniami i obrzękiem.
- Choroba może rozwijać się w ukryciu, np. pod plombami, między zębami lub na odsłoniętych korzeniach.
- U dzieci próchnica postępuje znacznie szybciej ze względu na słabszą mineralizację zębów mlecznych.
- Wczesne rozpoznanie objawów i szybka wizyta u stomatologa są kluczowe dla skutecznego leczenia i uniknięcia poważnych powikłań.
Dlaczego wczesne rozpoznanie próchnicy jest tak ważne?
Zrozumienie objawów próchnicy jest pierwszym i najważniejszym krokiem do jej wczesnego wykrycia i skutecznego leczenia. Jako stomatolog, zawsze podkreślam, że im szybciej zareagujemy, tym prostsze i mniej inwazyjne będzie leczenie, a co za tym idzie mniejsze koszty i większy komfort dla pacjenta. Ignorowanie nawet drobnych sygnałów może prowadzić do poważnych konsekwencji dla zdrowia jamy ustnej i całego organizmu.
Próchnica to niestety jeden z najpowszechniejszych problemów zdrowotnych w Polsce. Statystyki są alarmujące: dotyka ona ponad 90% dorosłego społeczeństwa, a także znaczną część dzieci w wieku szkolnym, które często mają nieleczone ubytki. To "cichy problem", który potrafi rozwijać się bez wyraźnych objawów przez długi czas. Zaczyna się od demineralizacji szkliwa, czyli pojawienia się białych, matowych plamek, a następnie, jeśli nie zostanie zatrzymana, postępuje, tworząc widoczne ubytki, by w końcu doprowadzić do silnego bólu i poważnych infekcji. Dlatego tak ważne jest, abyśmy byli świadomi, na co zwracać uwagę, by móc zareagować w porę.

Pierwsze sygnały: jak rozpoznać próchnicę w początkowym stadium?
Początkowe stadium próchnicy często bywa ignorowane, ponieważ objawy są subtelne i łatwe do przeoczenia. Właśnie na tym etapie interwencja jest najmniej inwazyjna, a proces chorobowy bywa często odwracalny. Dlatego tak istotne jest, abyśmy byli wyczuleni na te dyskretne sygnały.
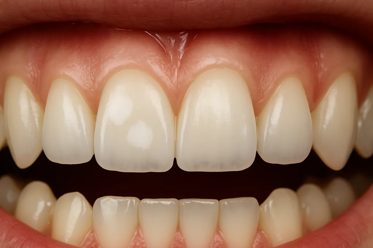
- Pierwszym widocznym sygnałem demineralizacji szkliwa jest pojawienie się matowych, białych plam na powierzchni zęba. Są to tzw. plamy kredowe, które świadczą o utracie minerałów. Na tym etapie, przy odpowiedniej higienie i stosowaniu preparatów z fluorem, proces próchnicowy może zostać zatrzymany, a nawet odwrócony.
- Możesz również odczuwać lekką, krótkotrwałą wrażliwość lub ból zębów, szczególnie w reakcji na słodkie, zimne lub gorące pokarmy i napoje. Choć wiele osób bagatelizuje ten objaw, przypisując go ogólnej nadwrażliwości, w rzeczywistości może to być wczesna wskazówka, że próchnica zaczyna naruszać strukturę szkliwa.
- Kolejnym dyskretnym sygnałem, który możesz wyczuć językiem, jest szorstkość powierzchni zęba w miejscu demineralizacji. Zamiast gładkiego szkliwa, wyczuwalne staje się nierówne, chropowate miejsce, co również wskazuje na początkową fazę próchnicy.
Kiedy próchnica staje się widoczna? Objawy średniozaawansowanego stadium
Kiedy próchnica postępuje, objawy stają się bardziej wyraźne i trudniejsze do zignorowania. Na tym etapie choroba jest już zazwyczaj na tyle zaawansowana, że wymaga interwencji stomatologicznej, aby zapobiec dalszemu rozwojowi i poważniejszym komplikacjom.
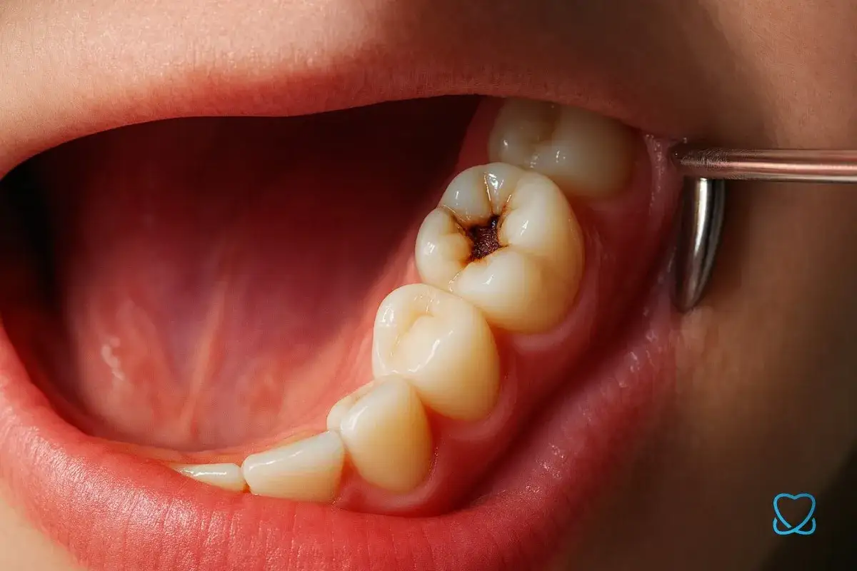
- W miarę postępu próchnicy, początkowe białe plamy na szkliwie zmieniają kolor. Mogą stać się żółtawe, brązowe, a w końcu czarne. Te zmiany koloru są wynikiem dalszej demineralizacji i wnikania barwników z pożywienia w uszkodzoną strukturę zęba, co jest wyraźnym znakiem zaawansowania choroby.
- Demineralizacja prowadzi do powstania widocznego ubytku, czyli "dziury" w zębie. To już wyraźny sygnał, że próchnica naruszyła szkliwo i dotarła do zębiny. Taki ubytek wymaga wypełnienia, aby zapobiec dalszemu niszczeniu zęba i infekcji miazgi.
- Może pojawić się ból przy nacisku na ząb podczas gryzienia i jedzenia. Jest to sygnał, że próchnica dotarła do głębszych warstw zęba, zbliżając się do miazgi. Nacisk podczas żucia podrażnia zakończenia nerwowe w zębinie, powodując dyskomfort.
- W przestrzeniach międzyzębowych, gdzie często rozwija się ukryta próchnica, możesz zauważyć, że nić dentystyczna zaczyna się strzępić lub rwać. Jest to spowodowane nierównościami i ostrymi krawędziami powstałymi w wyniku demineralizacji szkliwa, co jest ważną wskazówką do wizyty u dentysty.
Kiedy ból staje się nieznośny? Zaawansowane objawy i pilna pomoc
Zaawansowane stadium próchnicy to moment, w którym choroba dotarła do miazgi zęba, czyli jego "serca", zawierającego nerwy i naczynia krwionośne. Wówczas objawy stają się bardzo intensywne i wskazują na poważne uszkodzenie, często wymagające pilnej pomocy stomatologicznej.
- Najbardziej charakterystycznym objawem jest intensywny, pulsujący i samoistny ból zęba, który często nasila się w nocy, utrudniając zasypianie. Jest to sygnał, że infekcja bakteryjna dotarła do miazgi zęba, powodując jej zapalenie. Taki ból wymaga natychmiastowej interwencji stomatologicznej, zazwyczaj leczenia kanałowego.
- W zaawansowanym stanie zapalnym lub infekcji, ból zęba może promieniować do innych części twarzy i głowy, takich jak ucho, skroń, żuchwa, a nawet szyja. To znak, że infekcja rozprzestrzenia się, a nerwy są silnie podrażnione.
- Pojawienie się ropnia zęba to poważna infekcja, która objawia się silnym bólem, widocznym obrzękiem dziąsła lub całej twarzy, a czasem towarzyszy jej gorączka. Ropień jest nagromadzeniem ropy w tkankach okołowierzchołkowych i wymaga pilnego drenażu oraz leczenia, aby zapobiec dalszemu rozprzestrzenianiu się infekcji.
- W zaawansowanym stadium próchnicy struktura zęba jest tak osłabiona przez rozległy ubytek, że może dojść do jego pęknięcia lub całkowitego złamania, nawet podczas zwykłego jedzenia. To nie tylko bolesne, ale często prowadzi do konieczności usunięcia zęba, jeśli nie da się go odbudować.
- Dodatkowo, w zaawansowanej próchnicy często pojawia się nieprzyjemny zapach z ust (halitoza) oraz dziwny posmak. Są one spowodowane rozkładającymi się resztkami pokarmowymi i tkankami w głębokim ubytku, co tworzy idealne środowisko dla bakterii.

Ukryta próchnica: gdzie szukać niewidocznych zagrożeń?
Nie każda próchnica jest łatwo widoczna gołym okiem. Istnieją miejsca, gdzie rozwija się ona w ukryciu, co znacznie utrudnia jej wczesne wykrycie i zwiększa ryzyko poważniejszych uszkodzeń, zanim zauważymy jakiekolwiek objawy. Jako dentysta, zawsze zwracam uwagę na te "ciche" zagrożenia.
Próchnica wtórna: zagrożenie pod wypełnieniem
Próchnica wtórna rozwija się pod istniejącym wypełnieniem, często w wyniku nieszczelności plomby lub jej zużycia. Jej objawy mogą być mylące i obejmować ból zęba, nadwrażliwość na zmiany temperatury, przebarwienie wokół wypełnienia lub wyczuwalną szczelinę między plombą a zębem. Niestety, często jest ona niewidoczna podczas standardowego badania i wykrywalna tylko na zdjęciu rentgenowskim, co podkreśla znaczenie regularnych kontroli stomatologicznych.
Próchnica międzyzębowa: nić dentystyczna jako system wczesnego ostrzegania
Próchnica międzyzębowa, jak sama nazwa wskazuje, rozwija się na powierzchniach styku zębów. Długo może przebiegać bezobjawowo, ponieważ jest trudna do zauważenia. Pierwszymi sygnałami mogą być nadwrażliwość na słodkie lub zimne, ból przy jedzeniu, a także strzępienie się lub rwanie nici dentystycznej podczas czyszczenia tych przestrzeni. Regularne używanie nici dentystycznej jest tu kluczowe nie tylko zapobiega, ale także działa jak system wczesnego ostrzegania.Próchnica korzenia: ciche zagrożenie dla odsłoniętych szyjek
Próchnica korzenia to problem, który dotyka głównie osoby z odsłoniętymi szyjkami zębowymi, często w wyniku recesji dziąseł. Objawy to nadwrażliwość na zimno i dotyk, przebarwienia blisko linii dziąseł oraz czasem krwawienie. Jest to szczególnie niebezpieczny rodzaj próchnicy, ponieważ korzeń nie jest chroniony przez twarde szkliwo, co sprawia, że choroba postępuje znacznie szybciej i może szybko doprowadzić do poważnych uszkodzeń zęba.

Próchnica u dzieci: specyfika i szybki rozwój
Próchnica u dzieci ma swoją specyfikę i często postępuje znacznie szybciej niż u dorosłych. Jako rodzic i stomatolog, zawsze apeluję o szczególną czujność, ponieważ zdrowe zęby mleczne są fundamentem dla zdrowych zębów stałych i prawidłowego rozwoju mowy oraz zgryzu.- Jednym z najbardziej rozpoznawalnych typów jest próchnica wczesnego dzieciństwa, często nazywana próchnicą butelkową. Charakteryzuje się ona pojawieniem się białych lub brązowych plamek wzdłuż linii dziąseł, najczęściej na przednich zębach. Jest to wynik długotrwałego kontaktu zębów z cukrami zawartymi w mleku, sokach czy słodzonych napojach, zwłaszcza podczas snu.
- Należy pamiętać, że zęby mleczne są słabiej zmineralizowane niż zęby stałe, co sprawia, że próchnica u dzieci postępuje znacznie szybciej. Mały ubytek może w ciągu kilku tygodni przekształcić się w poważną infekcję. Dlatego też, gdy tylko zauważysz jakiekolwiek zmiany w jamie ustnej dziecka, konieczna jest szybka reakcja i wizyta u stomatologa dziecięcego.
Co robić, gdy zauważysz objawy próchnicy?
Zauważenie któregokolwiek z opisanych objawów powinno być dla Ciebie sygnałem do działania. Nie zwlekaj! Wczesna interwencja jest kluczowa dla zachowania zdrowia Twoich zębów i uniknięcia poważniejszych problemów. Pamiętaj, że samodzielna ocena często bywa niewystarczająca, a tylko profesjonalna diagnostyka stomatologiczna może potwierdzić obecność próchnicy i określić jej stopień zaawansowania.
- Jeśli odczuwasz silny, pulsujący ból zęba, który nasila się w nocy lub promieniuje do innych części twarzy, niezwłocznie umów się na wizytę.
- Gdy zauważysz widoczny ubytek, czyli "dziurę" w zębie, nawet jeśli nie towarzyszy mu ból, konieczna jest konsultacja.
- W przypadku obrzęku dziąsła lub twarzy, a także pojawienia się ropnia, wizyta u stomatologa jest pilna i nie może być odkładana.
- Jeśli doświadczasz nadwrażliwości na słodkie, zimne lub gorące, która nie ustępuje i staje się coraz bardziej dokuczliwa, to również sygnał, by udać się do dentysty.
- Każde przebarwienie zęba (żółte, brązowe, czarne), które nie jest wynikiem osadu, powinno zostać sprawdzone przez specjalistę.
Przeczytaj również: Zniszczone zęby po amfetaminie? Odzyskaj zdrowy uśmiech!
Konsekwencje ignorowania próchnicy
Ignorowanie wczesnych objawów próchnicy to prosta droga do poważnych konsekwencji. Nieleczona próchnica nie zatrzymuje się sama postępuje, prowadząc do coraz większych uszkodzeń zęba. To z kolei oznacza konieczność bardziej skomplikowanego i inwazyjnego leczenia, takiego jak leczenie kanałowe, a w skrajnych przypadkach nawet ekstrakcja zęba. Takie procedury są nie tylko bardziej kosztowne, ale również bardziej obciążające dla pacjenta. Pamiętaj, że zaniedbania w jamie ustnej mogą wpływać na ogólny stan zdrowia, prowadząc do infekcji w innych częściach organizmu. Dlatego tak ważne jest, aby reagować szybko i nie dopuszczać do zaawansowania choroby.
