Problemy z dziąsłami, takie jak ból, krwawienie czy obrzęk, potrafią skutecznie uprzykrzyć codzienne funkcjonowanie i są sygnałem, którego nie wolno lekceważyć. W tym kompleksowym przewodniku, bazując na moim doświadczeniu, przedstawię sprawdzone domowe metody, polecane preparaty z apteki oraz kluczowe wskazówki dotyczące higieny i diety, aby pomóc Ci skutecznie zadbać o zdrowie swojej jamy ustnej i zrozumieć, kiedy niezbędna jest wizyta u stomatologa.
Skuteczne sposoby na bolące dziąsła kompleksowy przewodnik po domowych metodach i wsparciu z apteki
- Problemy z dziąsłami, takie jak krwawienie czy obrzęk, są powszechne i często sygnalizują zapalenie, które nieleczone może prowadzić do paradontozy.
- Wiele dolegliwości można łagodzić domowymi sposobami, np. płukankami ziołowymi (szałwia, rumianek) lub roztworami soli i wody utlenionej.
- Apteczne preparaty bez recepty, w tym specjalistyczne pasty, płyny i żele z chlorheksydyną czy ekstraktami roślinnymi, stanowią skuteczne wsparcie w leczeniu.
- Kluczowa jest prawidłowa higiena jamy ustnej (szczotkowanie, nić, irygator) oraz dieta bogata w witaminy C, D, K i koenzym Q10.
- W przypadku uporczywych objawów, takich jak silny ból, nieustające krwawienie czy ruchomość zębów, niezbędna jest natychmiastowa konsultacja ze stomatologiem.

Pierwsze sygnały problemów z dziąsłami co oznaczają?
Krwawienie przy myciu zębów czy to już powód do niepokoju?
Z mojego doświadczenia wynika, że krwawienie dziąseł podczas szczotkowania zębów to jeden z najczęstszych, a zarazem najbardziej ignorowanych sygnałów ostrzegawczych. Wiele osób uważa to za normalne, ale prawda jest taka, że zdrowe dziąsła nie krwawią. Ten objaw jest bardzo często pierwszym symptomem zapalenia dziąseł (gingivitis), które, jeśli zostanie zlekceważone, może prowadzić do znacznie poważniejszych problemów, takich jak paradontoza. A paradontoza, jak wiemy, jest jedną z głównych przyczyn utraty zębów w Polsce. Dlatego, jeśli zauważysz krew, potraktuj to jako wyraźny sygnał do działania.Obrzęk, zaczerwienienie i ból co dokładnie oznaczają te objawy?
Obrzęk, zaczerwienienie i ból to klasyczne objawy stanu zapalnego, które często towarzyszą krwawieniu. Wskazują one na aktywną reakcję Twojego organizmu na obecność bakterii i podrażnienia, najczęściej związane z niewystarczającą higieną jamy ustnej. Dziąsła stają się wrażliwe, a nawet bolesne przy dotyku czy jedzeniu. To sygnał, że bakterie z płytki nazębnej wywołują reakcję obronną, a tkanki dziąseł są w stanie podwyższonej gotowości.
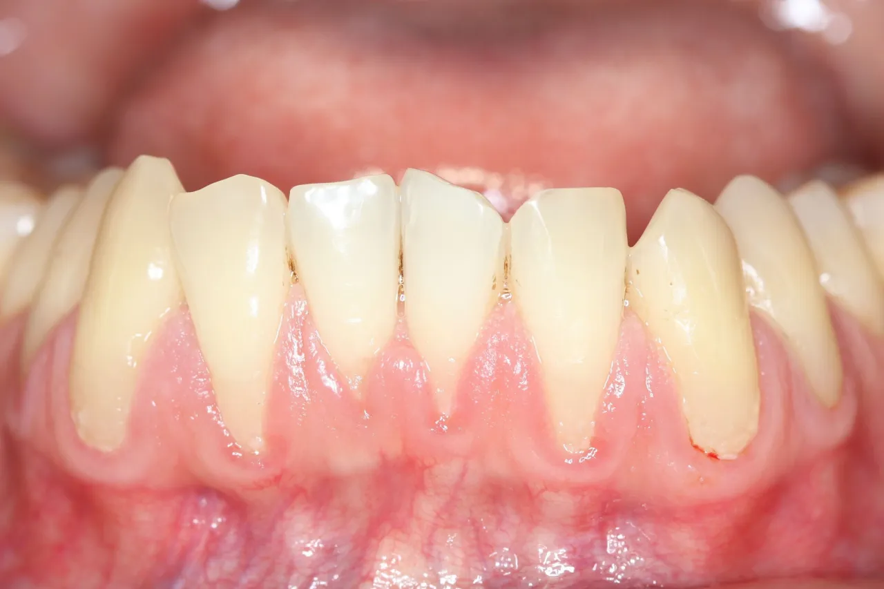
Cofające się dziąsła cichy problem o poważnych konsekwencjach
Cofające się dziąsła to bardziej zaawansowany problem, który często rozwija się bezboleśnie, stąd jego "cichy" charakter. Polega on na stopniowym odsłanianiu korzeni zębów, co prowadzi do nadwrażliwości na zimno, ciepło czy słodkie pokarmy. Niestety, odsłonięte korzenie są również bardziej podatne na próchnicę, co może mieć poważne konsekwencje dla stabilności i zdrowia zębów.
Najczęstsze przyczyny problemów z dziąsłami, których możesz nie być świadomy
Problemy z dziąsłami rzadko pojawiają się bez powodu. Oto najczęstsze czynniki ryzyka, które obserwuję w praktyce:
- Niewłaściwa higiena jamy ustnej: To podstawa. Niewystarczające lub nieprawidłowe szczotkowanie i brak czyszczenia przestrzeni międzyzębowych prowadzą do gromadzenia się płytki bakteryjnej i kamienia nazębnego.
- Palenie papierosów: Palacze są znacznie bardziej narażeni na choroby dziąseł, a ich objawy często są zamaskowane, co utrudnia wczesne wykrycie.
- Cukrzyca: Osoby z cukrzycą mają osłabioną odporność i gorszą zdolność do zwalczania infekcji, co zwiększa ryzyko problemów z dziąsłami.
- Stres: Przewlekły stres może osłabiać układ odpornościowy, czyniąc dziąsła bardziej podatnymi na stany zapalne.
- Zmiany hormonalne: Okresy takie jak ciąża, menopauza czy nawet cykl menstruacyjny mogą wpływać na wrażliwość dziąseł.
- Przyjmowanie niektórych leków: Niektóre medykamenty, np. leki na nadciśnienie czy antydepresanty, mogą powodować suchość w ustach, co sprzyja rozwojowi bakterii.
Domowe sposoby na zdrowe dziąsła naturalne i skuteczne metody
Kiedy pojawiają się pierwsze objawy, zanim sięgniesz po apteczne specyfiki, warto wypróbować sprawdzone domowe sposoby. Pamiętaj jednak, że to rozwiązania wspomagające, a nie zastępujące profesjonalne leczenie.
Ziołowe płukanki, które przynoszą ulgę szałwia, rumianek i kora dębu w akcji
Ziołowe płukanki to prawdziwi sprzymierzeńcy w walce z podrażnionymi dziąsłami. Ich właściwości ściągające, antyseptyczne i przeciwzapalne są znane i wykorzystywane od wieków. Przygotowanie jest proste: wystarczy zaparzyć mocny napar z suszonych ziół i płukać nim jamę ustną kilka razy dziennie po ostudzeniu. Oto kilka z nich:
- Szałwia: Ma silne działanie antyseptyczne i ściągające, pomaga w redukcji krwawienia.
- Rumianek: Znany ze swoich właściwości przeciwzapalnych i łagodzących, idealny na podrażnione dziąsła.
- Kora dębu: Działa silnie ściągająco, wzmacnia dziąsła i zmniejsza ich krwawienie.
Płukanie solą lub wodą utlenioną kiedy i jak stosować, by sobie nie zaszkodzić?
Roztwory soli i wody utlenionej to proste, ale skuteczne domowe metody. Płukanie jamy ustnej roztworem soli (pół łyżeczki soli na szklankę ciepłej wody) może pomóc w redukcji obrzęku i działa antyseptycznie. Stosuj 2-3 razy dziennie. Woda utleniona (3% roztwór) również ma właściwości antybakteryjne. Należy ją jednak zawsze rozcieńczać jedną łyżeczkę wody utlenionej na pół szklanki wody. Płucz jamę ustną krótko, maksymalnie przez 30 sekund, nie częściej niż raz dziennie i nie połykaj roztworu. Długotrwałe lub zbyt stężone stosowanie wody utlenionej może podrażniać dziąsła i błonę śluzową.Olejek z drzewa herbacianego naturalny sprzymierzeniec w walce z bakteriami
Olejek z drzewa herbacianego to naturalny antyseptyk o potwierdzonym działaniu przeciwbakteryjnym i przeciwzapalnym. Może być pomocny w redukcji bakterii w jamie ustnej. Pamiętaj jednak, aby zawsze stosować go w rozcieńczeniu dodaj 2-3 krople olejku do szklanki ciepłej wody i płucz jamę ustną. Nigdy nie stosuj nierozcieńczonego olejku bezpośrednio na dziąsła i nie połykaj roztworu.
Masaż dziąseł prosty zabieg, który może zdziałać cuda
Delikatny masaż dziąseł to często niedoceniany zabieg, który może zdziałać cuda. Poprawia krążenie krwi w tkankach dziąseł, co wzmacnia je i wspomaga regenerację. Wykonuj go regularnie, a szybko zauważysz różnicę. Oto jak prawidłowo wykonać masaż:- Dokładnie umyj ręce.
- Nałóż niewielką ilość specjalnego żelu do masażu dziąseł lub po prostu użyj czystego palca.
- Delikatnie masuj dziąsła okrężnymi ruchami, zaczynając od zewnętrznej strony, a następnie przechodząc do wewnętrznej.
- Skup się na obszarach, które są najbardziej wrażliwe, ale unikaj silnego nacisku.
- Masuj przez około 2-3 minuty, raz lub dwa razy dziennie.
Skuteczne preparaty na dziąsła dostępne w aptece bez recepty
Kiedy domowe sposoby potrzebują wsparcia, apteka oferuje szeroki wachlarz preparatów, które mogą przynieść ulgę i wspomóc leczenie. Ważne jest, aby wybrać te odpowiednie dla Twoich potrzeb.
Jak wybrać najlepszą pastę na problemy z dziąsłami? Składniki, na które warto zwrócić uwagę
Wybór odpowiedniej pasty do zębów ma kluczowe znaczenie. Szukaj produktów, które są specjalnie przeznaczone do wrażliwych dziąseł lub problemów z przyzębiem. Zwróć uwagę na następujące składniki:
- Chlorheksydyna: Silny środek antyseptyczny, skuteczny w walce z bakteriami. Stosuj ją jednak z umiarem i zgodnie z zaleceniami, ze względu na potencjalne przebarwienia zębów.
- Ekstrakty ziołowe: Szałwia, rumianek, kora dębu, mirra działają przeciwzapalnie i ściągająco.
- Mleczan glinu: Pomaga w redukcji krwawienia dziąseł i wzmacnia je.
- Fluor: Wzmacnia szkliwo i chroni przed próchnicą, co jest ważne, gdy dziąsła są osłabione.
- Naturalne składniki: Rośnie popularność past z naturalnymi składnikami, często bez fluoru, które są łagodniejsze dla dziąseł.
Płyny do płukania jamy ustnej które z nich naprawdę działają antybakteryjnie?
Płyny do płukania jamy ustnej to doskonałe uzupełnienie codziennej higieny, szczególnie gdy mamy do czynienia ze stanem zapalnym. Skup się na tych, które zawierają składniki antybakteryjne, takie jak chlorheksydyna czy olejki eteryczne. Płyny z chlorheksydyną są szczególnie skuteczne w redukcji płytki nazębnej i bakterii, ale, podobnie jak pasty, należy stosować je z rozwagą i nie dłużej niż zaleca producent lub stomatolog. Pamiętaj, że płyn do płukania nie zastąpi szczotkowania i nici dentystycznej.
Żele i maści stomatologiczne kiedy warto po nie sięgnąć do miejscowego leczenia?
Żele i maści stomatologiczne to preparaty do miejscowego stosowania, które przynoszą szybką ulgę w bólu i redukują stan zapalny. Są idealne, gdy problem dotyczy konkretnego miejsca. Często zawierają składniki takie jak lidokaina (działa miejscowo znieczulająco), wyciągi roślinne (np. z rumianku, szałwii) czy chlorheksydynę. Aplikuje się je bezpośrednio na bolące lub zmienione zapalnie dziąsła, co pozwala na skoncentrowane działanie substancji aktywnych.
Chlorheksydyna mocny składnik na poważne stany zapalne. Jak stosować go z głową?
Chlorheksydyna to jeden z najsilniejszych i najskuteczniejszych antyseptyków stosowanych w stomatologii. Jest niezastąpiona w leczeniu poważnych stanów zapalnych dziąseł i przyzębia, a także po zabiegach chirurgicznych w jamie ustnej. Działa bakteriobójczo i bakteriostatycznie, skutecznie redukując ilość patogennych bakterii. Jednakże, ze względu na jej moc, konieczne jest stosowanie jej z umiarem i przez krótki czas, zgodnie z zaleceniami stomatologa lub producenta. Długotrwałe stosowanie chlorheksydyny może prowadzić do przebarwień zębów i języka, a także zaburzeń smaku. Zawsze traktuj ją jako wsparcie w leczeniu, a nie stały element codziennej higieny.
Dieta dla zdrowych dziąseł co jeść, by wzmocnić je od środka?
Nie tylko to, co kładziemy na szczoteczkę, ma znaczenie dla zdrowia dziąseł. Równie ważna jest dieta. Odpowiednie odżywianie może wzmocnić dziąsła od środka i wspomóc ich regenerację.
Witamina C fundament zdrowych i mocnych dziąseł
Witamina C to absolutny fundament zdrowych i mocnych dziąseł. Jest niezbędna do produkcji kolagenu, głównego białka budującego tkanki łącznej, w tym dziąseł. Wzmacnia również naczynia krwionośne, co przekłada się na mniejsze krwawienie i lepsze odżywienie tkanek. Jej niedobór może prowadzić do szkorbutu, którego jednym z objawów są właśnie krwawiące dziąsła. Włącz do diety takie produkty jak cytrusy, kiwi, papryka, natka pietruszki czy brokuły.
Rola witamin D, K i koenzymu Q10 w profilaktyce chorób przyzębia
Oprócz witaminy C, inne składniki odżywcze również odgrywają kluczową rolę. Witamina D wspiera wchłanianie wapnia, co jest ważne dla zdrowia kości i zębów, a także ma wpływ na odporność. Witamina K jest niezbędna do prawidłowego krzepnięcia krwi, co pomaga w redukcji krwawienia dziąseł. Koenzym Q10, często rekomendowany jako suplement, jest silnym antyoksydantem, który może wspomagać regenerację tkanek i redukować stany zapalne w obrębie dziąseł.
Produkty, które powinieneś włączyć do swojego menu już dziś
Aby wzmocnić dziąsła, postaw na dietę bogatą w witaminy i minerały. Oto lista produktów, które warto włączyć do codziennego menu:
- Owoce cytrusowe, kiwi, truskawki: Bogate w witaminę C.
- Zielone warzywa liściaste (szpinak, jarmuż, brokuły): Źródło witamin C i K.
- Tłuste ryby (łosoś, makrela): Dostarczają witaminy D i kwasów omega-3, które działają przeciwzapalnie.
- Orzechy i nasiona (migdały, siemię lniane): Zawierają witaminę E i zdrowe tłuszcze.
- Produkty pełnoziarniste: Dostarczają witamin z grupy B i błonnika.
- Jogurty naturalne i kefiry: Probiotyki wspierają ogólną odporność organizmu.
Czego unikać w diecie, aby nie pogarszać stanu swoich dziąseł?
Tak samo ważne, jak to, co jesz, jest to, czego unikasz. Nadmierne spożycie cukru i przetworzonej żywności sprzyja rozwojowi bakterii w jamie ustnej, co zwiększa ryzyko powstawania płytki nazębnej i stanów zapalnych dziąseł. Kwaśne napoje i pokarmy mogą erodować szkliwo, czyniąc zęby i dziąsła bardziej wrażliwymi. Ograniczenie tych produktów to prosty, ale skuteczny krok w kierunku zdrowszej jamy ustnej.
Codzienna profilaktyka jak dbać o dziąsła, by uniknąć problemów?
Nawet najlepsze leki i domowe sposoby nie zastąpią podstawy prawidłowej, codziennej higieny. To właśnie ona jest kluczem do utrzymania dziąseł w doskonałej kondycji.
Technika mycia zębów, która chroni dziąsła czy na pewno robisz to dobrze?
Prawidłowa technika szczotkowania zębów to absolutna podstawa. Wielu z nas szczotkuje zęby zbyt mocno lub w niewłaściwy sposób, co może podrażniać dziąsła. Zawsze polecam używanie miękkiej szczoteczki do zębów (manualnej lub elektrycznej) i delikatnych, okrężnych ruchów. Unikaj zbyt mocnego szorowania, które może prowadzić do recesji dziąseł. Oto kluczowe kroki:
- Ustaw szczoteczkę pod kątem 45 stopni do linii dziąseł.
- Wykonuj krótkie, delikatne ruchy wymiatające lub okrężne.
- Szczotkuj każdą powierzchnię zęba zewnętrzną, wewnętrzną i żującą.
- Nie zapomnij o delikatnym szczotkowaniu linii dziąseł.
- Szczotkuj zęby przez co najmniej dwie minuty, dwa razy dziennie.
Nić dentystyczna, irygator, szczoteczki międzyzębowe wybierz narzędzie idealne dla siebie
Czyszczenie przestrzeni międzyzębowych jest równie ważne, jak szczotkowanie. Sama szczoteczka nie dotrze do wszystkich zakamarków, gdzie gromadzi się płytka nazębna i resztki jedzenia. Oto narzędzia, które pomogą Ci zadbać o te trudno dostępne miejsca:
- Nić dentystyczna: Klasyczne i skuteczne narzędzie do usuwania płytki nazębnej i resztek pokarmu spomiędzy zębów. Używaj jej raz dziennie.
- Irygator do zębów: Coraz popularniejszy, irygator wykorzystuje strumień wody pod ciśnieniem do wypłukiwania resztek jedzenia i bakterii z przestrzeni międzyzębowych i spod linii dziąseł. Jest szczególnie polecany dla osób z aparatami ortodontycznymi, implantami czy mostami.
- Szczoteczki międzyzębowe: Dostępne w różnych rozmiarach, idealne do czyszczenia większych przestrzeni międzyzębowych. Wybierz rozmiar dopasowany do swoich potrzeb.
Regularna higienizacja w gabinecie dlaczego jest ważniejsza niż myślisz?
Nawet najbardziej sumienna higiena domowa nie zastąpi profesjonalnej opieki stomatologicznej. Regularne wizyty kontrolne u stomatologa oraz profesjonalna higienizacja (skaling, czyli usuwanie kamienia nazębnego, oraz piaskowanie, które usuwa osady i przebarwienia) są absolutnie kluczowe dla utrzymania zdrowych dziąseł i zapobiegania chorobom przyzębia. Kamień nazębny, który gromadzi się na zębach, jest siedliskiem bakterii i nie da się go usunąć domowymi metodami. Tylko profesjonalista może skutecznie oczyścić zęby i dziąsła, zapewniając im optymalne warunki do zdrowego funkcjonowania.

Kiedy domowe sposoby nie wystarczą? Sygnały, że potrzebujesz dentysty
Chociaż domowe sposoby i preparaty apteczne mogą przynieść ulgę, istnieją sytuacje, w których konieczna jest natychmiastowa interwencja stomatologiczna. Nie lekceważ tych sygnałów.
Uporczywe krwawienie i ból, które nie ustępują nie zwlekaj z wizytą
Jeśli mimo stosowania domowych metod i specjalistycznych preparatów, krwawienie dziąseł utrzymuje się lub nasila, a ból staje się uporczywy i nie ustępuje, to jest to wyraźny sygnał, że potrzebujesz natychmiastowej konsultacji ze stomatologiem. Mogą to być objawy zaawansowanego stanu zapalnego, który wymaga profesjonalnego leczenia.
Ruchomość zębów i ropna wydzielina sygnały alarmowe paradontozy
Ruchomość zębów to jeden z najbardziej alarmujących objawów, który wskazuje na zaawansowaną paradontozę. Oznacza to, że struktury utrzymujące ząb w kości są poważnie uszkodzone. Jeśli dodatkowo zauważysz ropną wydzielinę z dziąseł, jest to sygnał aktywnej infekcji. W takich przypadkach pilna interwencja stomatologiczna jest niezbędna, aby spróbować uratować zęby i zapobiec dalszej utracie kości.
Przeczytaj również: Ból po wyrwaniu zęba: Ulga, gojenie i objawy alarmowe poradnik
Jak wygląda profesjonalne leczenie chorób dziąseł w gabinecie stomatologicznym?
Profesjonalne leczenie chorób dziąseł w gabinecie stomatologicznym jest złożone i dostosowane do stopnia zaawansowania problemu. Zazwyczaj obejmuje ono:
- Profesjonalne czyszczenie zębów: Usunięcie kamienia nazębnego (skaling) i płytki bakteryjnej z powierzchni zębów i spod dziąseł.
- Głębokie skalingi i kiretaż: W przypadku zaawansowanych stanów zapalnych, konieczne jest głębokie czyszczenie korzeni zębów, aby usunąć kamień i zainfekowaną tkankę.
- Leczenie farmakologiczne: Stomatolog może przepisać antybiotyki (miejscowe lub ogólne) w celu zwalczania infekcji bakteryjnych.
- Leczenie chirurgiczne: W niektórych przypadkach, gdy choroba jest bardzo zaawansowana, konieczne mogą być zabiegi chirurgiczne, takie jak przeszczepy dziąseł czy regeneracja kości.
Pamiętaj, że wczesna diagnoza i leczenie są kluczowe dla zachowania zdrowia Twoich dziąseł i zębów.
